Current Concepts in the Arthroscopic Management of Femoroacetabular Impingement
Background: Femoroacetabular impingement (FAI) is a morphological hip condition involving abnormal contact between the femoral head-neck junction and the acetabular rim, potentially leading to labral tears and premature osteoarthritis. While conservative management remains the initial approach, surgical intervention is indicated for persistent symptomatic cases to address underlying osseous deformities and associated soft tissue pathology.
Objective: This review aims to provide a comprehensive overview of current concepts in the arthroscopic management of FAI, including diagnostic assessment, surgical techniques for labral and chondral injuries, and clinical outcomes.
Key Points: Diagnosis requires a combination of clinical examination, including the FADIR and FABER tests, and advanced imaging such as 3D-CT and MR arthrography. Arthroscopic intervention focuses on osteochondroplasty for cam and pincer lesions, alongside labral preservation through repair or reconstruction, which are considered superior to debridement for maintaining the hip's suction seal. Management of concomitant chondral defects involves techniques ranging from microfracture to autologous chondrocyte implantation. Although arthroscopy demonstrates high patient satisfaction and improved quality of life in short-to-mid-term studies, long-term success is influenced by the presence of pre-existing osteoarthritis and joint space narrowing. Emerging technologies, including computer-assisted navigation and robotic systems, offer potential for increased surgical precision.
Conclusion: Arthroscopic surgery is an established, effective treatment for FAI, providing significant functional improvements and pain relief. Success depends on accurate patient selection, precise correction of morphological abnormalities, and structured postoperative rehabilitation to optimize clinical recovery.
Introduction
Femoroacetabular Impingement (FAI) is a condition characterized by abnormal contact of the femoral head and/or neck with the acetabular rim in the physiological range of motion of the hip, which occurs due to an abnormal hip morphology [1]. Though the exact cause remains unclear one theory suggests that bony overgrowth seen in FAI have been noted in young athletes with a developing skeletal system, who subject their proximal femoral epiphysis to excessively high loading forces and repetitive microtrauma [2]. There is a suggestion that the cam deformity develops during adolescence in the majority of athletes [3]. Genetic causes of FAI are yet to be identified and there is no conclusive evidence to confirm any correlation [4].
Abnormal hip morphology in FAI can be defined as cam, pincer or mixed type impingement. Cam impingement refers to the formation of a bony prominence or thickening at the anterolateral junction of the head and neck of the femur, which leads to an aspherical femoral head. This discrepancy between the femoral head and acetabulum leads to a conflict which increases the stresses being placed at the chondro-labral junction during flexion and internal rotation. These stresses eventually lead to a labral tear with the articular cartilage being sheared away resulting in chondral degeneration and arthritis in some cases [5]. Pincer impingement, on the other hand, represents a morphological abnormality on the acetabular side wherein there is an over-coverage of the acetabulum or a retroverted acetabulum. This over-coverage or retroversion leads to a linear impingement of the labrum on the femoral neck, and repeated abutment in turn causes calcification of the labrum worsening the conflict [5]. A mixed cam/pincer impingement implies a combination of the two morphologies.
Both pincer and cam FAI morphologies can result in chondral injury, flap tears, as well as labral degeneration and tears, with resultant progressive hip pain and ultimately leading to osteoarthritis in some cases [5]. FAI typically affects young adults, which can be significantly debilitating in this age group and poses a significant socioeconomic impact in this cohort of patients. Management of FAI is initially conservative and if conservative management fails then surgical intervention is advised. Surgical intervention can be performed with an open or arthroscopic technique which focuses on correction of the morphological abnormality and addressing the resultant labral and chondral damage. The purpose of this article is to provide the readers an overview of the current concepts in the arthroscopic management of FAI.
Assessment
Asymptomatic FAI morphology is known to be present in the general population. FAI syndrome is the addition of symptoms to these morphological changes. These characteristic symptoms include a gradual onset of hip and groin pain, typically in a young patient. This pain is made worse by flexion and internal rotation of the hip and hip-based strenuous activities which include cutting and rotating. The pain is typically distributed anterolaterally in the hip, which patients demonstrate by cupping their hip with their index finger and thumb, this clinical sign is termed the “C sign” [6]. Additionally, there may be associated mechanical hip symptoms which include clicking and popping.
Upon examination, the range of motion of the hip usually reveals a reduction in flexion and internal rotation. A FADIR (Flexion, ADduction and Internal Rotation) or anterior impingement test can be used to assess for FAI [7]. FAI is closely associated with labral pathology and the presence of which, can be assessed by performing the FABER (Flexion, ABduction and External Rotation) test [7]. Furthermore, examination of the hip in the prone position assessing internal and external rotation provides valuable information regarding decreased femoral version (FV). It is theorised that decreased FV can result in anterior impingement even in the absence of pathomorphological features [8]. In this instance, if arthroscopic management is wrongly implemented it can result in the worsening of symptoms, signifying the importance of a thorough physical examination [9].
Monitoring of hip muscle strength enables tracking of patient progression and assessment of the efficacy of treatment. Biomechanical studies have shown that patients with cam type FAI have a significant weakness in all hip movements apart from internal rotation and extension [10]. FAI is associated with a reduced ability to activate the tensor fascia latae during hip flexion, which has been confirmed by electromyography studies which showed a lower electrical activity [11].
Currently, there is no standardised protocol for the measurement of muscle strength. Although there are various methods which exist including hand-held dynamometry and motor-driven dynamometry. Both methods have their indications, but in order to achieve reliable measurements consistency and values of both isokinetic and isometric muscle strength should be made [10]. Implementing these suggestions either of these measurement devices are recommended [10]. Ultimately, a thorough assessment of the muscles around the hip along with an assessment of range of motion is necessitated.
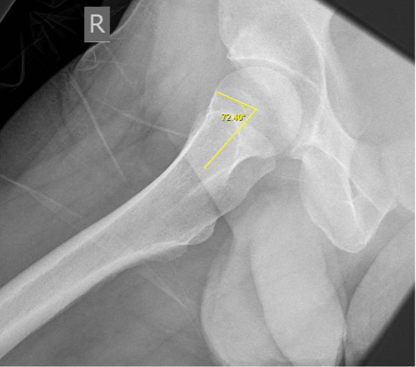
Radiologically, FAI is assessed with an anterior-posterior (AP) pelvis, and a cross table lateral hip radiograph. Besides the aforementioned morphological abnormalities, the asphericity of the femoral head neck junction and the crossover sign with the ischial spine sign indicate cam and pincer impingement respectively [12]. A Dunn view radiograph (taken in supine position with ipsilateral hip in 90° flexion and 20° abduction) is very sensitive to identify subtle cam deformities [13]. Alternatively, a frog-leg lateral radiograph can also be used to calculate the alpha angle to diagnose a cam type deformity [12]. The alpha angle is measured between one line intersecting the centre of the femoral neck and head, and another line intersecting the centre of the femoral head and the beginning of the prominence of the head-neck junction [6]. An alpha angle greater than 50 degrees indicates a cam type deformity (see Figures 1 and 2) [6].


Computerised tomography (CT) has been a game changer in the arena of young adult hip surgery as it can be used to create three-dimensional reconstructions which aid in understanding acetabular coverage and version, proximal femoral abnormalities and torsion, rotational abnormalities, and the posterior joint space [14]. CT scans can also be utilized for production of personalised dynamic collision analysis via Clinical Graphics which can act as an adjunct in pre-operative planning [15]. Magnetic resonance imaging (MRI) on the other hand is the optimal modality to assess soft tissue for articular cartilage injury and also for the state of the labrum. Magnetic resonance arthrography is an efficacious imaging modality to gauge cam type lesions with 100% sensitivity and specificity as well as labral tears with 91% and 86% sensitivity and specificity respectively [12]. In particular, the radial sequence of the MRI has been shown to have a strong correlation with the 45 degrees Dunn view [16]. Ultrasound can help with dynamic assessment of soft tissue structures like the iliopsoas and tensor fascia lata in cases with concomitant snapping and in ruling out concomitant inguinal or femoral hernias [17]. Finally, a positive response to a diagnostic hip injection can help in confirming that the source of the pain is intra-articular in origin and in some instances can also help in prognosis [18, 19].
The Role of Arthroscopic Management
Once the diagnosis has been confirmed, most patients with FAI are managed involving a multidisciplinary team approach, starting non-operatively with activity modification and a rehabilitation programme focusing on the muscle deficits [20]. This, typically, is the first line management for the minimally symptomatic patient with no mechanical symptoms. NSAIDs alongside physiotherapy can be used to address kinetic chain dysfunction. Patients with persistent pain and failure of conservative management can be offered intra-articular steroid injections, which can help both diagnostically and therapeutically. Failure of conservative management in the symptomatic patient with an impact on the quality of life should prompt consideration for operative management. The primary goal of surgical intervention be it open or arthroscopic is to improve symptoms and function. Two large scale multicentre, randomised controlled trials from the UK, FAIT and FASHION have shown that arthroscopy yields a greater improvement in the quality of life at 8 and 12 months respectively when compared to physiotherapy or best conservative management alone [21, 22].
The aim of surgical intervention, open or arthroscopic, is to address the underlying morphological abnormality (cam, pincer, mixed) and the resultant soft tissue damage that the morphological abnormality produces (labral/chondral damage). Open, mini-open and arthroscopic approaches have been advocated to achieve this surgical aim [1] . When compared to surgical hip dislocation or arthroscopic techniques, the anterior mini open approach is reported to have a higher rate of better PROMs but does suffer from the highest rate of complications [1]. Additionally, of the three techniques, surgical hip dislocation is known to have the highest rate of conversion to a total hip replacement [1]. In cases with complex pathology of the joint, where optimal visualisation and manoeuvrability are necessitated, a preference for the open surgical approach is typically chosen over an arthroscopic one [23]. In certain cases, either approach has its role, but ultimately both offer significant improvements radiologically and in terms of PROMs, and as such both are widely accepted [1]. Overall, there is a trending role for arthroscopy as it is known to have a low rate of complication and conversion to total hip arthroplasty alongside minimal soft tissue disruption decreasing recovery time.
Arthroscopic Management of FAI
Advances in arthroscopic instrumentation and techniques have facilitated the rapid adoption of arthroscopic surgery as the standard of treatment for FAI. Trends reflect this advancement by showing continuing preference for arthroscopy over the open approach [24]. Various surgical techniques can be implored to treat the range of abnormalities of FAI, with the overarching aim being to correct the abnormalities of hip morphology and correct any associated labral or cartilage pathology.
The key to a successful arthroscopic intervention commences by ensuring that the right patient with the right pathology of the hip is chosen for the procedure so that favourable outcomes can be obtained [25]. The scope of this selection and “Whom not to operate on?” is beyond the remit of this article and readers are referred to this reference which captures the factors associated with less favourable outcomes following hip arthroscopy [25]. In terms of the surgical technique, accurate positioning of the patient either in a supine or lateral position with padding of all pressure points and accurate portal placement are paramount [26]. The operative leg is positioned in internal rotation and abduction [26]. Traction of the leg with the bolster acting as a lever arm enables distraction of the joint permitting arthroscopic access to the hip [26]. Adequate distraction of the hip is confirmed on image intensifier prior to starting the procedure. Then following skin preparation and draping of the hip, the joint is filled with 30-40ml of saline and portal sites are located and marked. The standard portals used by the senior author are anterolateral (AL) and mid-anterior portals (MAP). A third Dienst portal is used to access the peripheral compartment to excise the cam lesion [27]. Additional accessory portals can be used as appropriate to perform labral repair or reconstruction.
Labral Pathology
FAI is usually associated with chondrolabral damage which needs to be addressed at the time of arthroscopy. Detailed assessment of the labrum is paramount to guide the management strategy. Depending on the extent of labral damage, it can either be debrided, repaired or reconstructed. The decision on how to stratify labral damage is based upon various criteria including the size of the labrum and the state of the labrum including whether it is detached, degenerated, bruised or torn as well as the Tönnis grade which assesses the severity of OA of the hip [28, 29].
If there is a firmly attached labrum to the chondrolabral junction, minimal damage of the labrum, and a degenerative tear then debridement can be used to shave the damaged parts of labrum [28]. This technique removes minimal labrum whilst maintaining the functionality of the structure. Debridement is performed using an arthroscopic shaver or a radiofrequency wand. Studies have demonstrated that the labrum may in fact regenerate following arthroscopic debridement [30]. However, as labral debridement involves excision of the torn labrum, there can inadvertently be a worse outcome if excessive labrum is excised, as this can cause a loss of the suction seal effect that is created by the labrum [31, 32]. In comparison, labral repairs and reconstructions maintain optimal intra-articular fluid pressurisation aiding outcomes [31]. Additionally, resection of excessive amounts of labrum may lead to chondral defects and induce secondary OA [33].
Labral repairs preserve the labrum and reattach the torn labrum to the acetabulum [34]. Labral repairs can be performed in a variety of ways, the most popular of which is to suture in a knotted or knotless technique, then anchor the labrum to the acetabular rim [28]. A looped technique using a knotless anchor passes the suture around the labral tissue which is secured to the suture anchor by insertion into the acetabular rim [35]. This technique has the added advantage of being able to tighten the suture exactly as required but is difficult to perform in the anteroinferior part of the acetabulum. On the other hand, with the knotted technique a suture anchor is first placed on the acetabular rim and then the suture is passed through the labral tissue [28]. This technique has the advantage of the ability to perform the repair in areas of difficult access. Additional accessory portals can be used as appropriate.
If the labral damage is far too extensive and deemed irreparable then the labrum can be reconstructed [34]. Labral reconstruction is the process in which the labrum is partially or completely excised and then reconstructed using either an autograft or allograft. There are a variety of options for graft tissue, autograft options include the iliotibial band, hip capsule, indirect head of rectus femoris, gracilis tendon and the quadriceps tendon [36]. Allograft options include the tendons of the semitendinosus, tibialis anterior, peroneus brevis as well as the iliotibial band and the tensor fascia lata [36]. Studies are currently unavailable to demonstrate the advantages of one graft over another graft and thus there is surgeon and patient preference for the grafts [36]. Although, there should be consideration for the main purported disadvantages of allografts which include graft to host infection, availability and cost [37]. Overall labral reconstruction is known to show significant benefits in outcomes of PROMs and patient satisfaction at 2 years [38].
All management options yield favourable results, and the debate of whether to debride, repair or reconstruct continues. In a recent publication from the Non-Arthroplasty Hip Registry in the UK, over 3700 patients have had a labral repair, over 3200 have had a debridement procedure and less than 400 patients have had a reconstruction procedure [39]. These figures are in keeping with the consideration of labral preservation with fixation to be the gold standard, though this is in part due to the degree of labral damage and also due to the nature of the other management options [40, 41].
Chondral Injuries
Chondral injuries pose a significant challenge to the surgeon and for the outcomes of the patient [25]. Like labral injuries, the extent of chondral injuries first needs to be assessed to instigate an appropriate management plan. MRI of the hip provides useful information regarding this but often the final decision is taken at the time of arthroscopic surgery. The extent of chondral injuries of the acetabulum and femur can be quantified into various grades depending on the classification type and anatomical zones (Figure 3) [25].

Various methods have been developed to treat this cause of significant morbidity (see Table 1). Familiarisation with the classification system and all the available repair techniques enables a tailored and personalised management plan for the patient ensuring a satisfactory outcome [25].
Hip Capsule
During arthroscopy, a fenestration is usually created in the capsule to permit access to the hip joint, labrum and articular cartilage. Following insertion of the arthroscope a capsulotomy is performed to facilitate easy manoeuvrability of the instruments in the hip and to avoid iatrogenic injury to intra-articular structures. Different capsulotomy techniques include a T-shaped or L-shaped incision, interportal-capsulotomy or thinning of the capsule, choice of which depends on the surgeon’s preference. In addition, most surgeons tend to connect the viewing (AL) and working portals (MAP) to enhance the surgical field. The formation of this window can potentially weaken the capsule structurally [43]. The larger the inter-portal capsulotomy the weaker the capsule, as observed by a significant increase in the axial distraction distances in the unrepaired inter-portal capsulotomy when compared to the intact hip capsule which have been observed in cadaveric experiments [43]. There are also concerns that this may lead to micro-instability of the hip joint [44]. Capsular insufficiency is a recognised cause of post-operative instability of the hip and is deemed as a failure of hip arthroscopy [45]. Closure of the capsule improves pain and functional outcomes by restoring biomechanical stability of the hip joint [45]. However, there is considerable amount of debate on whether to repair the capsule or not and currently this depends on the length of the capsulotomy and the individual surgeon’s preference. In the senior author’s practice, the capsule is not repaired routinely because a three-portal technique is utilised with a very small capsulotomy.
Correction of Morphological Abnormalities
In cases of cam type deformity an osteochondroplasty, with the aid of a high-speed burr, can be performed to remove the bony prominences or thickenings at the head-neck junction of the femur [6]. In cases of pincer type deformity removal of the bony over hang at the acetabular rim can be performed with or without labral detachment [6]. In both cases, accurate pre-operative planning with the help of a 3D CT and adequate access to the cam and pincer lesion is essential to eliminate impingement and aid an improved range of motion in the hip.
Complications
Complications can arise because of any medical intervention and the arthroscopic treatment of FAI is no exception. Important recognised complications include iatrogenic labral or chondral injury, neurovascular injury, heterotrophic ossification, venous thromboembolism, fluid extravasation, anal or vaginal tears and adhesions. A brief description of these complications specific to hip arthroscopy are provided in Table 2 [46].
Post-Operative Management
Rehabilitation is key to the successful management of patients with FAI. The aim is to strengthen muscles ensuring that they are prepared for the demands of normal daily activities. It involves phases of rehabilitation that are time specific ensuring the correct amount of activity to strengthen the muscles whilst being mindful to not excessively strain the joint [48]. Rehabilitation is known to optimise outcomes following an operation through early range of motion, joint stiffness and the risk of developing intra-articular adhesions can be reduced [49]. Specifically, exercises involving pendulum and circumduction movements are known to reduce the risk of intra-articular adhesion formation [49]. Additional post-operative strengthening exercises vary between protocols and clinicians. Typically, they are tailored based on the patient’s range of motion and weight bearing tolerance.
A short period of partial weight bearing, with crutches prevents excessive strain on the operated hip and promotes healing. Additionally, a non-weight bearing position, activates the flexors of the hip increasing compressive forces across the hip joint which promotes the healing of a stable joint [49]. Without adequate weight bearing advice, significant reflex inhibition of the gluteus medius as a result of post-operative pain and swelling can occur and cause pelvic instability and drop [49].
Heterotopic ossification is a known complication following hip arthroscopy for FAI that can be observed radiologically [50]. It can result in pain and functional impairment which can prophylactically be treated with NSAIDs. Additionally, mechanical and pharmacological prophylaxis for venous thromboembolism is normally prescribed for the first four weeks for patients who are at a high risk.
Outcomes
The arthroscopic treatment of FAI is known to result in significant improvements in terms of pain and function with a low rate of a complications and subsequently a high overall patient satisfaction [51]. The majority of these improvements are reported 1 to 2 years post-operatively [51]. Poorer outcomes are observed with concurrent pathology of the hip including arthritis and dysplasia [51].
The largest improvements seen in PROMs are reported in the short-term with a follow-up at 1 to 2 years. Most patients can return to sports within 1 year of the operation [52]. Mid-term follow-up at 5 years reported that significant improvements were seen in PROMs with a high patient satisfaction [53]. In this group there were no conversions to arthroplasty but 17.2% of patients required revision arthroscopy [53]. Long term assessment of arthroscopic surgery is limited due to the relative infancy of the procedure and thus there are limited studies assessing this parameter. However, of the studies that do exist at a 10-year follow-up the rate of arthroplasty conversion has ranged from 10% to 44.1% [54-56]. These studies additionally, suggested that predictive factors for conversion to an arthroplasty included an increasing age, femoral and acetabular Outerbridge grade III-IV lesions and a joint space <2mm on pre-operative radiograph [51].
Future of Arthroscopy
The future of arthroscopy for FAI is exciting with an array of innovative technology currently being developed to further enhance surgical precision. Computer-assisted hip arthroscopic surgery enables the surgeon to preoperatively plan the procedure by conducting a virtual osteochondroplasty as visualisation and spatial awareness of the joint are difficult during arthroscopy [57]. Computer-assisted arthroscopy can additionally provide the surgeon with intraoperative computer navigation, which pinpoints the impingement site enabling the surgeon to remove the optimal amount of bone, thereby reducing human error [58, 59]. Accurate excision of cam lesions has been shown to normalise intra-articular stress in the hip joint [5]. This technology has the potential to widely be used for the efficacious treatment of FAI in the near future.
Robotic surgery is another avenue that is currently being explored for the treatment of FAI. Robotic hip arthroscopic surgery is still in its infantile stage and has currently only been used on cadaveric models due to the limited articulation of the instrument heads [57, 60]. Although, in the future robotic surgery has the potential to transform joint surgery by enabling the surgeon to perform a variety of more complex procedures.
Training in hip arthroscopy
Arthroscopic surgery of the hip joint has a steep learning curve and a structured training programme is the key to achieving excellent outcome. Various studies have shown that around 75-100 hip arthroscopies are necessary for the training of a surgeon to reduce their complication rate and reduce traction time during the procedure [61, 62]. However, one can progress through the early learning curve with the use of simulation training [63]. Furthermore, cadaveric skills training and a structured fellowship programme are essential to be fully prepared for independent practice [64]. Finally, an initial mentored stage is known to ultimately improve development and confidence in independent practice [64].
Conclusion
Arthroscopic surgery has an increasing role in the management of FAI. Abnormal hip morphology can result in significant pain and interfere with activities of daily living. Labral injuries secondary to FAI can be treated arthroscopically with either debridement, repair or reconstruction depending on the severity of the injury. Chondral defects secondary to FAI represents a serious challenge to the surgeon. Various arthroscopic interventions, including debridement, microfracture, osteochondral transplantation, suturing, fibrin adhesives and artificial plugs and ACI can be used to counter this cause of significant morbidity. The future offers promising new technologies with computer navigation and robotic surgery to personalise surgery to the individual patient that have the potential to transform arthroscopic surgery and the treatment of FAI.
References
[1] D. Addai, J. Zarkos, M. Pettit, K. H. Sunil Kumar, and V. Khanduja, "Outcomes following surgical management of femoroacetabular impingement: a systematic review and meta-analysis of different surgical techniques," (in eng), Bone Joint Res, vol. 10, no. 9, pp. 574-590, Sep 2021, doi: 10.1302/2046-3758.109.BJR-2020-0443.R1.
[2] C. Doran, M. Pettit, Y. Singh, K. H. Sunil Kumar, and V. Khanduja, "Does the Type of Sport Influence Morphology of the Hip? A Systematic Review," (in eng), Am J Sports Med, p. 3635465211023500, Aug 24 2021, doi: 10.1177/03635465211023500.
[3] M. Pettit, C. Doran, Y. Singh, M. Saito, K. H. Sunil Kumar, and V. Khanduja, "How does the cam morphology develop in athletes? A systematic review and meta-analysis," (in eng), Osteoarthritis Cartilage, vol. 29, no. 8, pp. 1117-1129, 08 2021, doi: 10.1016/j.joca.2021.02.572.
[4] J. D. Packer and M. R. Safran, "The etiology of primary femoroacetabular impingement: genetics or acquired deformity?," (in eng), J Hip Preserv Surg, vol. 2, no. 3, pp. 249-57, Oct 2015, doi: 10.1093/jhps/hnv046.
[5] J. Van Houcke, V. Khanduja, and E. A. Audenaert, "Accurate Arthroscopic Cam Resection Normalizes Contact Stresses in Patients With Femoroacetabular Impingement," (in eng), Am J Sports Med, vol. 49, no. 1, pp. 42-48, 01 2021, doi: 10.1177/0363546520974378.
[6] S. Pun, D. Kumar, and N. E. Lane, "Femoroacetabular impingement," (in eng), Arthritis Rheumatol, vol. 67, no. 1, pp. 17-27, Jan 2015, doi: 10.1002/art.38887.
[7] A. Pålsson, I. Kostogiannis, and E. Ageberg, "Combining results from hip impingement and range of motion tests can increase diagnostic accuracy in patients with FAI syndrome," (in eng), Knee Surg Sports Traumatol Arthrosc, vol. 28, no. 10, pp. 3382-3392, Oct 2020, doi: 10.1007/s00167-020-06005-5.
[8] T. D. Lerch et al., "Femoroacetabular Impingement Patients With Decreased Femoral Version Have Different Impingement Locations and Intra- and Extraarticular Anterior Subspine FAI on 3D-CT-Based Impingement Simulation: Implications for Hip Arthroscopy," (in eng), Am J Sports Med, vol. 47, no. 13, pp. 3120-3132, 11 2019, doi: 10.1177/0363546519873666.
[9] P. D. Fabricant, K. G. Fields, S. A. Taylor, E. Magennis, A. Bedi, and B. T. Kelly, "The effect of femoral and acetabular version on clinical outcomes after arthroscopic femoroacetabular impingement surgery," (in eng), J Bone Joint Surg Am, vol. 97, no. 7, pp. 537-43, Apr 01 2015, doi: 10.2106/JBJS.N.00266.
[10] E. Mayne, A. Memarzadeh, P. Raut, A. Arora, and V. Khanduja, "Measuring hip muscle strength in patients with femoroacetabular impingement and other hip pathologies: A systematic review," (in eng), Bone Joint Res, vol. 6, no. 1, pp. 66-72, Jan 2017, doi: 10.1302/2046-3758.61.BJR-2016-0081.
[11] N. C. Casartelli et al., "Hip muscle weakness in patients with symptomatic femoroacetabular impingement," (in eng), Osteoarthritis Cartilage, vol. 19, no. 7, pp. 816-21, Jul 2011, doi: 10.1016/j.joca.2011.04.001.
[12] A. Aprato et al., "Magnetic resonance arthrography for femoroacetabular impingement surgery: is it reliable?," (in eng), J Orthop Traumatol, vol. 14, no. 3, pp. 201-6, Sep 2013, doi: 10.1007/s10195-013-0227-1.
[13] J. C. Clohisy et al., "A systematic approach to the plain radiographic evaluation of the young adult hip," (in eng), J Bone Joint Surg Am, vol. 90 Suppl 4, pp. 47-66, Nov 2008, doi: 10.2106/JBJS.H.00756.
[14] C. E. Albers, N. Wambeek, M. S. Hanke, F. Schmaranzer, G. H. Prosser, and P. J. Yates, "Imaging of femoroacetabular impingement-current concepts," (in eng), J Hip Preserv Surg, vol. 3, no. 4, pp. 245-261, Oct 2016, doi: 10.1093/jhps/hnw035.
[15] J. E. Naili, A. Stålman, A. Valentin, M. Skorpil, and L. Weidenhielm, "Hip joint range of motion is restricted by pain rather than mechanical impingement in individuals with femoroacetabular impingement syndrome," (in eng), Arch Orthop Trauma Surg, Sep 28 2021, doi: 10.1007/s00402-021-04185-4.
[16] M. Saito, S. Tsukada, K. Yoshida, Y. Okada, and A. Tasaki, "Correlation of alpha angle between various radiographic projections and radial magnetic resonance imaging for cam deformity in femoral head-neck junction," (in eng), Knee Surg Sports Traumatol Arthrosc, vol. 25, no. 1, pp. 77-83, Jan 2017, doi: 10.1007/s00167-016-4046-9.
[17] F. D. Naal, F. Dalla Riva, T. H. Wuerz, B. Dubs, and M. Leunig, "Sonographic prevalence of groin hernias and adductor tendinopathy in patients with femoroacetabular impingement," (in eng), Am J Sports Med, vol. 43, no. 9, pp. 2146-51, Sep 2015, doi: 10.1177/0363546515591259.
[18] J. Mathews, Z. Alshameeri, D. Loveday, and V. Khanduja, "The role of fluoroscopically guided intra-articular hip injections in potential candidates for hip arthroscopy: experience at a UK tertiary referral center over 34 months," (in eng), Arthroscopy, vol. 30, no. 2, pp. 153-5, Feb 2014, doi: 10.1016/j.arthro.2013.11.023.
[19] A. Volpin, K. H. Kumar, and V. Khanduja, "Air arthrograms for intra-articular injections of the hip," vol. 86 e-supplement 1, ed. Acta Orthopaedica: Acta Orthopaedica, 2020, pp. 160-164.
[20] A. T. Pennock, J. D. Bomar, K. P. Johnson, K. Randich, and V. V. Upasani, "Nonoperative Management of Femoroacetabular Impingement: A Prospective Study," (in eng), Am J Sports Med, vol. 46, no. 14, pp. 3415-3422, 12 2018, doi: 10.1177/0363546518804805.
[21] A. J. R. Palmer et al., "Arthroscopic hip surgery compared with physiotherapy and activity modification for the treatment of symptomatic femoroacetabular impingement: multicentre randomised controlled trial," (in eng), BMJ, vol. 364, p. l185, 02 07 2019, doi: 10.1136/bmj.l185.
[22] D. R. Griffin et al., "Arthroscopic hip surgery compared with personalised hip therapy in people over 16 years old with femoroacetabular impingement syndrome: UK FASHIoN RCT," (in eng), Health Technol Assess, vol. 26, no. 16, pp. 1-236, Feb 2022, doi: 10.3310/FXII0508.
[23] A. G. Dukas, A. S. Gupta, C. L. Peters, and S. K. Aoki, "Surgical Treatment for FAI: Arthroscopic and Open Techniques for Osteoplasty," (in eng), Curr Rev Musculoskelet Med, pp. 281-290, Jul 01 2019, doi: 10.1007/s12178-019-09572-4.
[24] A. J. Palmer et al., "Past and projected temporal trends in arthroscopic hip surgery in England between 2002 and 2013," (in eng), BMJ Open Sport Exerc Med, vol. 2, no. 1, p. e000082, 2016, doi: 10.1136/bmjsem-2015-000082.
[25] K. H. Sunil Kumar, M. Garner, and V. Khanduja, "An evidence-based update on the management of articular cartilage defects in the hip," (in eng), J Clin Orthop Trauma, vol. 28, p. 101830, May 2022, doi: 10.1016/j.jcot.2022.101830.
[26] P. W. Sabetian et al., "Circumferential and Segmental Arthroscopic Labral Reconstruction of the Hip Utilizing the Knotless Pull-Through Technique with All-Suture Anchors," (in eng), Arthrosc Tech, vol. 10, no. 10, pp. e2245-e2251, Oct 2021, doi: 10.1016/j.eats.2021.05.029.
[27] M. Dienst, M. Kusma, O. Steimer, P. Holzhoffer, and D. Kohn, "[Arthroscopic resection of the cam deformity of femoroacetabular impingement]," (in ger), Oper Orthop Traumatol, vol. 22, no. 1, pp. 29-43, Mar 2010, doi: 10.1007/s00064-010-3003-5.
[28] D. E. Hartigan et al., "Labral debridement, repair and reconstruction: current concepts," Journal of ISAKOS, vol. 3, no. 3, pp. 155-160, 2018/05/01/ 2018, doi: https://doi.org/10.1136/jisakos-2017-000160.
[29] M. J. Philippon, S. C. Faucet, and K. K. Briggs, "Arthroscopic hip labral repair," (in eng), Arthrosc Tech, vol. 2, no. 2, pp. e73-6, May 2013, doi: 10.1016/j.eats.2012.11.002.
[30] G. D. Abrams, M. R. Safran, and H. Sadri, "Spontaneous hip labrum regrowth after initial surgical débridement," (in eng), Clin Orthop Relat Res, vol. 471, no. 8, pp. 2504-8, Aug 2013, doi: 10.1007/s11999-013-2914-x.
[31] M. J. Philippon et al., "The hip fluid seal--Part I: the effect of an acetabular labral tear, repair, resection, and reconstruction on hip fluid pressurization," (in eng), Knee Surg Sports Traumatol Arthrosc, vol. 22, no. 4, pp. 722-9, Apr 2014, doi: 10.1007/s00167-014-2874-z.
[32] B. G. Domb, Y. F. El Bitar, C. E. Stake, A. P. Trenga, T. J. Jackson, and D. Lindner, "Arthroscopic labral reconstruction is superior to segmental resection for irreparable labral tears in the hip: a matched-pair controlled study with minimum 2-year follow-up," (in eng), Am J Sports Med, vol. 42, no. 1, pp. 122-30, Jan 2014, doi: 10.1177/0363546513508256.
[33] T. Su, G. X. Chen, and L. Yang, "Diagnosis and treatment of labral tear," (in eng), Chin Med J (Engl), vol. 132, no. 2, pp. 211-219, Jan 20 2019, doi: 10.1097/CM9.0000000000000020.
[34] D. R. Maldonado et al., "Labral Tear Management in Patients Aged 40 Years and Older Undergoing Primary Hip Arthroscopy: A Propensity-Matched Case-Control Study With Minimum 2-Year Follow-up," (in eng), Am J Sports Med, vol. 49, no. 14, pp. 3925-3936, 12 2021, doi: 10.1177/03635465211046915.
[35] G. A. Sawyer, K. K. Briggs, G. J. Dornan, N. D. Ommen, and M. J. Philippon, "Clinical Outcomes After Arthroscopic Hip Labral Repair Using Looped Versus Pierced Suture Techniques," (in eng), Am J Sports Med, vol. 43, no. 7, pp. 1683-8, Jul 2015, doi: 10.1177/0363546515581469.
[36] P. Lodhia, M. O. McConkey, J. M. Leith, D. R. Maldonado, M. J. Brick, and B. G. Domb, "Graft Options in Hip Labral Reconstruction," (in eng), Curr Rev Musculoskelet Med, vol. 14, no. 1, pp. 16-26, Feb 2021, doi: 10.1007/s12178-020-09690-4.
[37] R. Atzmon, J. R. Radparvar, Z. T. Sharfman, A. A. Dallich, E. Amar, and E. Rath, "Graft choices for acetabular labral reconstruction," (in eng), J Hip Preserv Surg, vol. 5, no. 4, pp. 329-338, Dec 2018, doi: 10.1093/jhps/hny033.
[38] D. R. Maldonado et al., "Minimum 2-Year Outcomes Following Arthroscopic Hip Labral Reconstruction in Adolescents and Young Adults," (in eng), J Pediatr Orthop, vol. 42, no. 2, pp. 83-89, Feb 01 2022, doi: 10.1097/BPO.0000000000001984.
[39] R. Holleyman, C. McBryde, V. Khanduja, and A. Malviya, "Non-Arthroplasty Hip Registry, 7th Annual Report," ed. Non-Arthroplasty Hip Registry: NAHR, 2022.
[40] C. M. Larson et al., "Arthroscopic Management of Dysplastic Hip Deformities: Predictors of Success and Failures With Comparison to an Arthroscopic FAI Cohort," (in eng), Am J Sports Med, vol. 44, no. 2, pp. 447-53, Feb 2016, doi: 10.1177/0363546515613068.
[41] M. J. Philippon, I. K. Bolia, R. Locks, and K. K. Briggs, "Labral Preservation: Outcomes Following Labrum Augmentation Versus Labrum Reconstruction," (in eng), Arthroscopy, vol. 34, no. 9, pp. 2604-2611, 09 2018, doi: 10.1016/j.arthro.2018.04.021.
[42] N. Nakano, C. Gohal, A. Duong, O. R. Ayeni, and V. Khanduja, "Outcomes of cartilage repair techniques for chondral injury in the hip-a systematic review," (in eng), Int Orthop, vol. 42, no. 10, pp. 2309-2322, 10 2018, doi: 10.1007/s00264-018-3862-6.
[43] D. C. O'Neill, K. M. Tomasevich, A. J. Mortensen, J. Featherall, S. M. Ohlsen, and S. K. Aoki, "Capsular Repair During Hip Arthroscopy Demonstrates Restoration of Axial Distraction Resistance in an in Vivo Intraoperative Testing Model," (in eng), J Bone Joint Surg Am, vol. 103, no. 21, pp. 1977-1985, 11 03 2021, doi: 10.2106/JBJS.20.01932.
[44] A. Dangin, N. Tardy, M. Wettstein, O. May, and N. Bonin, "Microinstability of the hip: A review," (in eng), Orthop Traumatol Surg Res, vol. 102, no. 8S, pp. S301-S309, 12 2016, doi: 10.1016/j.otsr.2016.09.002.
[45] A. J. Mortensen, A. K. Metz, D. L. Froerer, and S. K. Aoki, "Hip Capsular Deficiency-A Cause of Post-Surgical Instability in the Revision Setting Following Hip Arthroscopy for Femoroacetabular Impingement," (in eng), Curr Rev Musculoskelet Med, vol. 14, no. 6, pp. 351-360, Dec 2021, doi: 10.1007/s12178-021-09732-5.
[46] N. Nakano, L. Lisenda, T. L. Jones, D. T. Loveday, and V. Khanduja, "Complications following arthroscopic surgery of the hip: a systematic review of 36 761 cases," (in eng), Bone Joint J, vol. 99-B, no. 12, pp. 1577-1583, Dec 2017, doi: 10.1302/0301-620X.99B12.BJJ-2017-0043.R2.
[47] N. Nakano and V. Khanduja, "Complications in Hip Arthroscopy," (in eng), Muscles Ligaments Tendons J, vol. 6, no. 3, pp. 402-409, 2016 Jul-Sep 2016, doi: 10.11138/mltj/2016.6.3.402.
[48] B. D. Kuhns, A. E. Weber, B. Batko, S. J. Nho, and C. Stegemann, "A FOUR-PHASE PHYSICAL THERAPY REGIMEN FOR RETURNING ATHLETES TO SPORT FOLLOWING HIP ARTHROSCOPY FOR FEMOROACETABULAR IMPINGEMENT WITH ROUTINE CAPSULAR CLOSURE," (in eng), Int J Sports Phys Ther, vol. 12, no. 4, pp. 683-696, Aug 2017. [Online]. Available: https://www.ncbi.nlm.nih.gov/pubmed/28900574.
[49] K. R. Enseki and D. Kohlrieser, "Rehabilitation following hip arthroscopy: an evolving process," (in eng), Int J Sports Phys Ther, vol. 9, no. 6, pp. 765-73, Nov 2014. [Online]. Available: https://www.ncbi.nlm.nih.gov/pubmed/25383245.
[50] L. Zheng, J. M. Hwang, D. S. Hwang, C. Kang, J. K. Lee, and Y. C. Park, "Incidence and location of heterotopic ossification following hip arthroscopy," (in eng), BMC Musculoskelet Disord, vol. 21, no. 1, p. 132, Feb 28 2020, doi: 10.1186/s12891-020-3150-7.
[51] C. C. Chambers and A. L. Zhang, "Outcomes for Surgical Treatment of Femoroacetabular Impingement in Adults," (in eng), Curr Rev Musculoskelet Med, pp. 271-280, Jul 10 2019, doi: 10.1007/s12178-019-09567-1.
[52] A. E. Weber, B. D. Kuhns, G. L. Cvetanovich, J. S. Grzybowski, M. J. Salata, and S. J. Nho, "Amateur and Recreational Athletes Return to Sport at a High Rate Following Hip Arthroscopy for Femoroacetabular Impingement," (in eng), Arthroscopy, vol. 33, no. 4, pp. 748-755, Apr 2017, doi: 10.1016/j.arthro.2016.10.015.
[53] B. G. Domb, L. C. Yuen, V. Ortiz-Declet, J. Litrenta, I. Perets, and A. W. Chen, "Arthroscopic Labral Base Repair in the Hip: 5-Year Minimum Clinical Outcomes," (in eng), Am J Sports Med, vol. 45, no. 12, pp. 2882-2890, Oct 2017, doi: 10.1177/0363546517713731.
[54] J. C. McCarthy, B. T. Jarrett, O. Ojeifo, J. A. Lee, and C. R. Bragdon, "What factors influence long-term survivorship after hip arthroscopy?," (in eng), Clin Orthop Relat Res, vol. 469, no. 2, pp. 362-71, Feb 2011, doi: 10.1007/s11999-010-1559-2.
[55] T. J. Menge, K. K. Briggs, G. J. Dornan, S. C. McNamara, and M. J. Philippon, "Survivorship and Outcomes 10 Years Following Hip Arthroscopy for Femoroacetabular Impingement: Labral Debridement Compared with Labral Repair," (in eng), J Bone Joint Surg Am, vol. 99, no. 12, pp. 997-1004, Jun 21 2017, doi: 10.2106/JBJS.16.01060.
[56] J. W. Byrd and K. S. Jones, "Hip arthroscopy for labral pathology: prospective analysis with 10-year follow-up," (in eng), Arthroscopy, vol. 25, no. 4, pp. 365-8, Apr 2009, doi: 10.1016/j.arthro.2009.02.001.
[57] N. Kobayashi et al., "Computer-Assisted Hip Arthroscopic Surgery for Femoroacetabular Impingement," (in eng), Arthrosc Tech, vol. 7, no. 4, pp. e397-e403, Apr 2018, doi: 10.1016/j.eats.2017.10.013.
[58] N. Nakano, E. Audenaert, A. Ranawat, and V. Khanduja, "Review: Current concepts in computer-assisted hip arthroscopy," (in eng), Int J Med Robot, vol. 14, no. 6, p. e1929, Dec 2018, doi: 10.1002/rcs.1929.
[59] J. Van Houcke, V. Khanduja, N. Nakano, P. Krekel, C. Pattyn, and E. Audenaert, "Accuracy of navigated cam resection in femoroacetabular impingement: A randomised controlled trial," (in eng), Int J Med Robot, vol. 13, no. 4, Dec 2017, doi: 10.1002/rcs.1839.
[60] J. Kather, M. E. Hagen, P. Morel, J. Fasel, S. Markar, and M. Schueler, "Robotic hip arthroscopy in human anatomy," (in eng), Int J Med Robot, vol. 6, no. 3, pp. 301-5, Sep 2010, doi: 10.1002/rcs.332.
[61] J. Kautzner, P. Zeman, A. Stančák, and V. Havlas, "Hip arthroscopy learning curve: a prospective single-surgeon study," (in eng), Int Orthop, vol. 42, no. 4, pp. 777-782, 04 2018, doi: 10.1007/s00264-017-3666-0.
[62] G. D. Dumont, R. M. Cohn, M. M. Gross, T. J. Menge, N. C. Battle, and Z. T. Thier, "The Learning Curve in Hip Arthroscopy: Effect on Surgical Times in a Single-Surgeon Cohort," (in eng), Arthroscopy, vol. 36, no. 5, pp. 1293-1298, 05 2020, doi: 10.1016/j.arthro.2019.11.121.
[63] J. D. Bartlett et al., "The learning curves of a validated virtual reality hip arthroscopy simulator," (in eng), Arch Orthop Trauma Surg, vol. 140, no. 6, pp. 761-767, Jun 2020, doi: 10.1007/s00402-020-03352-3.
[64] S. Kumar and K. H. , "Training young adult hip surgeons for the future: the Cambridge vision," vol. 5, Lawrence and J. E. , Eds., ed. Bone & Joint 360: Bone & Joint Publisher, 2016