Anterior tibial tuberosity distalization osteotomy for painful patella alta
Background: Tibial tubercle osteotomy (TTO) is a standard intervention for objective patellar instability, often performed alongside medial patellofemoral ligament reconstruction or trochleoplasty. However, the use of isolated distalizing TTO for patellofemoral pain syndrome in the absence of instability remains controversial. Patella alta is associated with delayed engagement of the patella into the trochlea, reduced contact area, and increased mechanical stress on the patellofemoral joint during flexion.
Objective: This article aims to define the clinical indications, preoperative diagnostic requirements, and surgical techniques for isolated anterior tibial tubercle (ATT) distalization, while reviewing current literature regarding clinical outcomes and complications.
Key Points: Surgical candidates must present with patella alta (Caton-Deschamps Index >1.2) and pain refractory to six months of conservative management. Preoperative assessment requires lateral radiographs and MRI to evaluate chondral integrity and the sagittal engagement index. The surgical technique involves a 6-cm ATT wedge with a horizontal medial cut and a 45-degree lateral oblique cut to facilitate consolidation. Fixation is achieved using two 4.5-mm cortical screws. Biomechanical data suggest distalization increases patellofemoral congruence but carries risks of iatrogenic patella baja if overcorrected. Meta-analyses indicate a 10% complication rate, including proximal tibia fractures and hardware-related pain, though clinical satisfaction rates reach approximately 80%.
Conclusion: Isolated ATT distalization is an effective procedure for addressing patellofemoral pain related to patella alta. Success depends on precise preoperative planning, meticulous surgical execution to prevent tuberosity avulsion, and strict adherence to postoperative weight-bearing and range-of-motion protocols.
Introduction
Historically, tibial tubercle osteotomy (TTO) has been used to treat a broad range of problems affecting the patellofemoral (PF) joint, such as patellar instability, focal chondral defects, patellofemoral pain syndromes and osteoarthritis.[1], Kellie K. Middleton, Simone Gruber, Beth E. Shubin Stein. Why and Where to Move the Tibial Tubercle: Indications and Techniques for Tibial Tubercle Osteotomy. Sports Med Arthrosc Rev 2019;27:154–160 [2], Seth L. Sherman, Joseph Humpherys, Jack Farr. Optimizing Patellofemoral Cartilage Restoration and Instability With Tibial Tubercle Osteotomy. Arthroscopy 2019 Aug;35(8):2255-2256.[3] Seth L. Sherman, Brandon J. Erickson, Gregory L. Cvetanovich, Peter N. Chalmers, Jack Farr II, Bernard R. Bach, Jr and Brian J. Cole. Tibial Tuberosity Osteotomy: Indications, Techniques, and Outcomes. Am J Sports Med. 2014 Aug;42(8):2006-17 The typical indication for TTO is still objective patellar instability with confirmed episodes of dislocation, usually performed in combination with other procedures (e.g. MPFL repair, trochleoplasty).[4], Derrick Knapik, Kyle N Kunze, Eric Azua, Amar Vadhera, Adam B Yanke, Jorge Chahla. Radiographic and Clinical Outcomes After Tibial Tubercle Osteotomy for the Treatment of Patella Alta: A Systematic Review and Meta-analysis. Am J Sports Med. 2022 Jun;50(7):2042-2051.[5] Chilan B.G.Leit, Ta rsis P. Santos, Pedro N. Giglio, José R. Pe cora, Gilberto L. Camanho, Riccardo G. Gobbi. Tibial Tubercle Osteotomy With Distalization Is a Safe and Effective Procedure for Patients With Patella Alta and Patellar Instability. Orthop J Sports Med. 2021 Jan 21;9(1):2325967120975101 An isolated TTO as treatment for PF pain in the absence of any instability is much more controversial because the results are often seen as unpredictable. However, in the specific case of PF pain refractory to medical treatment in patients with patella alta, there may be justification for anterior tibia tubercle (ATT) osteotomy to distalize the patella.
This article lists the indications for this surgery to ensure the most suitable patients are selected, describes the preoperative assessments required and the surgical technique, then reports the results from a literature review.
Biomechanics of patella alta and ATT distalization osteotomy
Approximately 30% of “active” patients describe anterior knee pain.[6] T Luyckx, K Didden, H Vandenneucker, L Labey, B Innocenti,J Bellemans. Is there a biomechanical explanation for anterior knee pain in patients with patella alta? J Bone Joint Surg Br. 2009 Mar;91(3):344-50. It may be attributable to various factors, including patella alta, but the exact mechanism responsible for the pain remains largely unknown. Changing the height of the patella can vary the angle of flexion beyond which the patella will engage in the trochlea. A high-riding patella is therefore responsible for later engagement in the trochlea during flexion and a corresponding reduction in the contact area and time between the two.[7] Ward SR, Powers CM. Patella alta: association with patellofemoral alignment and changes in contact area during weight- bearing. J Bone Joint Surg Am. 2008;89:1749–1755. A shorter contact time between the patella and trochlea over a smaller area of cartilage can in fact increase the mechanical stresses on the patellofemoral joint beyond 80° of flexion.[6], T Luyckx, K Didden, H Vandenneucker, L Labey, B Innocenti,J Bellemans. Is there a biomechanical explanation for anterior knee pain in patients with patella alta? J Bone Joint Surg Br. 2009 Mar;91(3):344-50. [8] Lenhart RL, Brandon SCE, Smith CR, Novacheck TF, Schwartz MH, Thelen DG. Influence of patellar position on the knee extensor mechanism in normal and crouched walking. J Biomech. 2017 Jan 25;51:1-7. When standing still and walking slowly, a high-riding patella reduces the patellofemoral contact area.[9] Mitchell GA Wheatley, Michael J Rainbow, Allison L Clouthier. Patellofemoral Mechanics: a Review of Pathomechanics and Research Approaches. Curr Rev Musculoskelet Med. 2020 Jun; 13(3): 326–337. When walking fast, patella alta increases the stresses on the patellofemoral cartilage.
Surgical treatment for patella alta with lowering of the anterior tibial tubercle (ATT) is designed to increase the PF contact zone and improve PF congruence and patellar stability.[10], Dejour D, Le Coultre B. Osteotomies in patello-femoral instabilities. Sports Med Arthrosc Rev. 2007;15(1):39-46[11] Servien E, Verdonk PC, Neyret P. Tibial tuberosity transfer for episodic patellar dislocation. Sports Med Arthrosc Rev. 2007;15(2):61-67. In a 2007 biomechanical study, Dan et al. [12] Michael J. Dan !, Joseph Cadman, James McMahon, William C.H. Parr, David Broe, Mervyn Cross, Richard Appleyard, William R. Walsh. Distalising tibial tubercle osteotomy decreases patellar tendon force — A treatment rationale for recalcitrant patellar tendinopathy. The Knee. 2020 Jun;27(3):871-877. showed that a distalizing TTO can reduce the stresses on the patellar tendon (PT), suggesting that TTO could also be used to treat recalcitrant patellar tendinopathy.
However, it is important to avoid iatrogenic patella baja due to excessive distalization which would increase the PF stresses at 0 and 10° of flexion, as proven in a recent biomechanical study by Yang et al. [13] Justin S. Yang, John P. Fulkerson, Elifho Obopilwe, Andreas Voss, Jessica Divenere, Augustus D. Mazzocca, Cory M. Edgar. Patellofemoral Contact Pressures After Patellar Distalization: A Biomechanical Study. Arthroscopy 2017 Nov;33(11):2038-2044
Indication
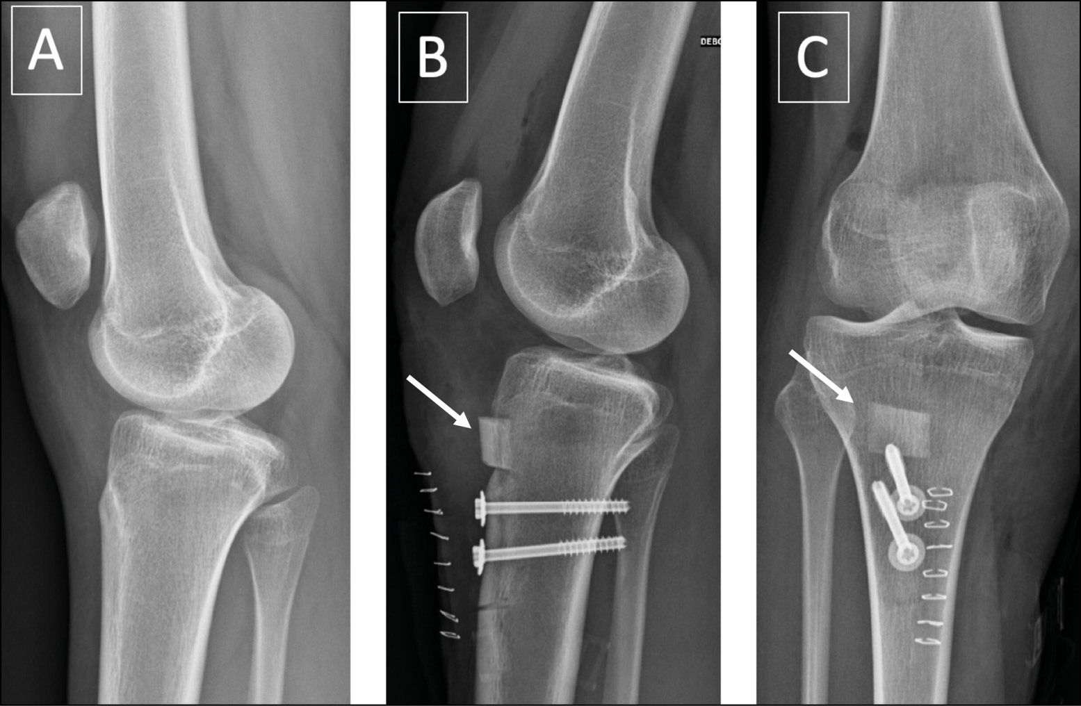
The only indication is patients with isolated patellofemoral pain syndrome and no objective instability, linked to patella alta (Fig. 1).

Patients sometimes describe symptoms of potential instability linked to non-engagement or a cartilaginous flap lesion, but this should not dominate the clinical presentation. The difficulty lies in detecting which patients would benefit from an osteotomy to lower the ATT.
Obviously, surgery should not be considered until after six months of observed medical treatment, involving physiotherapy, injections with viscosupplementation or PRP, depending on the condition of the cartilage.[1] Kellie K. Middleton, Simone Gruber, Beth E. Shubin Stein. Why and Where to Move the Tibial Tubercle: Indications and Techniques for Tibial Tubercle Osteotomy. Sports Med Arthrosc Rev 2019;27:154–160
There is still no international consensus as to the best way of measuring patellar height or the cut-off value for establishing a diagnosis of actual patella alta.
Traditionally, France has tended to use the Caton-Deschamps (CD) Index, measured from lateral knee x-rays. This method was first described by Jacques Caton in 1976 then modified in 1982 to become the Caton-Deschamps Index.[14] Caton J, Deschamp G, Chambat P, Lerat JL, Dejour H. Les rotules basses (Patellae inferae) – A propos de 128 observations. Rev Chir Orthop 1982 ; 68:317–325 Patella alta is defined as a value greater than 1.2. Many authors agree that it is one of the most reliable scores because it is highly reproducible.[15] Jacques Caton, David Dejour. Tibial tubercle osteotomy in patello-femoral instability and in patellar height abnormality. Int Orthop 2010 Feb;34(2):305-9. The score can also be calculated using a CT scan or MRI.[16] Ryan W. Paul, Joseph M. Brutico, Margaret L. Wright, Brandon J. Erickson, Fotios P. Tjoumakaris, Kevin B. Freedman, Meghan E. Bishop. Strong Agreement Between Magnetic Resonance Imaging and Radiographs for Caton–Deschamps Index in Patients With Patellofemoral Instability. Arthrosc Sports Med Rehabil. 2021 Sep 2;3(6):e1621-e1628 Before the indication can be confirmed, further diagnostic tests should be carried out including at least standard x-rays for assessing patellar height, other morphological conditions (e.g. trochlear dysplasia, patellar tilt) or patellofemoral osteoarthritis, which would be a contraindication to ATT distalization. Lateral x-rays of the contracted quadriceps can also help uncover a functional patella alta undetected on standard images.
The assessment will often also include a MRI for confirming the condition of the cartilage, especially around the patellofemoral joint. Chondral lesions are additional justification for a distalizing TTO, especially if on the ridge and/or lower part of the patella. A flap lesion in the patellar cartilage could for example prompt the surgeon to combine the osteotomy with arthroscopic surgery to stabilise it. Healthy cartilage on the proximal end of patella is a good prognostic sign because lowering the ATT will place the smooth cartilage over the trochlea, encouraging good PF congruence. In contrast, advanced chondropathy could be an argument against salvage surgery.
An MRI will provide additional information about any subchondral bony oedema, meniscus injury, patellar tendinopathy or Hoffa’s fat pad impingement (Fig. 2).

It can also be used to assess patellofemoral congruence by measuring the sagittal engagement index described by Dejour et al. in 2013 (Fig. 3).[17] D. Dejour, P. Ferrua, P.G. Ntagiopoulos, C. Radier, C. Hulet, F. Rémy, J. Chouteau, F. Chotel, P. Boisrenoult, A. Sebilo, S. Guilbert, D. Bertin, F.-P. Ehkirch, V. Chassaing. The introduction of a new MRI index to evaluate sagittal patellofemoral engagement. Orthop Traumatol Surg Res. 2013 Dec;99(8 Suppl):S391-8. This will reveal any functional high-riding patella with lack of engagement, despite a normal Caton-Deschamps score.

These 3D results (CT scan or MRI) can also help evaluate the position of the patella in the axial plane by measuring the TT-TG distance and the transverse engagement index. Lack of axial engagement is more commonly associated with objective instability and therefore beyond the scope of this article.
Surgical technique
Authors from the LYSKS will recognize the technique as a typical isolated distalizing TTO designed solely to correct patellar height. However, distalization, even isolated, has been shown to always result in simultaneous medialization of the patella (approx. 4mm).[18] Servien E, Ait Si Selmi T, Neyret P. Le Genou du Sportif. Montpellier: Sauramps medical; 2002:97–106
The skin incision should be wide enough to remove a wedge at least 6cm long. The distal insertion of the PT is located and dissected to allow through a Farabeuf retractor for protecting the tendon during the cut and possibly make a chamfer. The location of the ATT bony wedge and the two drill holes are marked with electro cautery to avoid an overly short wedge or holes too close together, which would weaken the bone. The two holes are drilled with a 4.5 mm drill before the cut, but only as far as the primary cortex, so that the wedge can be compressed during fixation. Just before making the cut with an oscillating saw, two additional holes may also be made using a size 2 drill at the distal end of the wedge to avoid fracturing the tibia. The medial part of the cut should be horizontal and the lateral part made at a 45° angle to avoid damaging the skin and tibialis anterior muscle with the blade (Fig. 4).

The flat cut in the medial cortex makes it possible to move the wedge without any bony obstruction, and the lateral oblique cut will pass through cancellous bone which will subsequently aid consolidation of the ATT.
The bone wedge is entirely freed from all adhesions so that it can be easily lowered, including section of the retinacula using Mayo scissors. A roughly 1cm bone fragment removed from the tibial crest can then be embedded just above the ATT bony wedge (Fig. 5).

It must be firmly embedded in the cancellous bone using a tamp to avoid impinging on the deep surface of the patellar tendon. Once the wedge has been lowered, it is temporarily held in place using a Steinmann pin inserted through the proximal hole and fixed in the posterior cortex. A 3.2 drill is then used to drill down into the posterior cortex of the distal hole, before inserting a size 4.5 screw, but without over-tightening it at first and the same procedure is repeated for the proximal hole. Take care to place the screws perfectly perpendicular to the tibial diaphysis and be sure that both screws protrude by 2mm the posterior cortex to limit the risk of secondary detachment of the wedge. The two screws are then successively and gradually tightened to compress the wedge sufficiently but without splitting or tilting it.
The key outcome of this procedure is the target postoperative Caton-Deschamps score or sagittal engagement score, which should usually be around 1 for the Caton-Deschamps score and positive for the sagittal engagement score. The ability to achieve these target scores depends crucially on the preoperative planning: full-scale x-rays or MRI, depending on the chosen score. Fluoroscopy may also be used to check the height during the procedure.
Arthroscopy is often combined with open surgery in order to:
- Conduct an accurate assessment of the cartilage
- Treat chondral lesions (usually on the patellar ridge or apex)
- Release the lateral retinaculum, although this is rarely needed
- Assess patellofemoral tracking before and after lowering the ATT.
Postoperative protocol
Patients are allowed for full weight bearing on the leg immediately after the operation. Until the quadriceps has fully recovered, they should be advised to wear a brace to avoid pseudo-loosening (for at least 10 days, and up to 1 months if necessary).
Physiotherapy can begin immediately, initially with isometric quadriceps movements. Patients should avoid overworking the quadriceps for six weeks to avoid the risk of the ATT wedge becoming detached. Flexion should be limited to 90° for one month. Circular joint motion on a bicycle can be particularly helpful, as with any patella condition, to help to recover. Isokinetic training may also help if the PF pain is too great during ‘traditional’ exercises. It ensures the correct resistance and speed during exercises and avoids over-working the PF joint.
Depending on the patient's clinical recovery and x-ray consolidation of the ATT osteotomy, sports can be gradually resumed after three months. There should no longer be any restriction on playing sports by six months after the surgery.
Outcomes and literature review
By 1990, Jacques Caton had already reviewed 50 patients with patella alta to confirm whether it was a simple radiographic peculiarity or a genuine clinical condition.[19] Caton J, Mironneau A, Walch G, Levigne C, Michel CR. Idiopathic high patella in adolescents: A propos of 61 surgical cases. Rev Chir Orthop 1990; 76:253–260. He concluded that a high-riding patella, if responsible for functional restrictions, should be classified as a pathology and corrected to obtain a satisfactory result.
A recent 2021 literature review by Bayoumi et al.20 discusses the results of isolated ATT osteotomy for patella alta without instability. A total of 761 patients and 818 knees were included with an average age of 35 years (22–58 years) and an average follow-up of 5 years (2–17.1 years). Men accounted for 38% of the population. The Lysholm score rose from 61 to 91 after the surgery, the Kujala score from 52 to 85, the IKDC score from 53 to 81, and the VAS pain score fell from 6.2 to 2.5. Eighty percent of patients were satisfied with the outcome of the operation. The rate of complications was 10%, and 29% of patients required removal of the fixation material. The main complications were postoperative stiffness requiring mobilisation under general anaesthesia, fractures of the proximal tibia and/or tuberosity avulsion fractures. However, the rate of complications has fallen with current practices and is only 7% in studies published after 2000. Finally, most complications are linked to failure to comply with the postoperative protocol and not to failure of the surgical technique.
Transfer direction was anteromedial in 76% of the procedures covered by this meta-analysis. Only the Canadian study by Al-Sayyad and Cameron from 2002 reports the results of isolated lowering of the ATT. This was a single-centre, single-surgeon retrospective study based on 25 patients operated between 1994 and 1998. Average follow-up was 2.4 years. Eighty-eight percent of patients were satisfied at the time of final follow-up. One patient presented with pseudoarthrosis of the ATT, and one patient fractured the bone wedge during a fall. The authors of the meta-analysis conclude that prospective studies with a longer follow-up are needed to examine whether the biomechanical changes induced by the tibial tubercle transfer could be responsible for PF osteoarthritis in the long term.
In 2021, the same Dutch author, Tarik Bayoumi, published a prospective single-centre series of 32 ATT osteotomies for painful patella alta. [22] Tarik Bayoumi, Dennis C. van Duijvenbode, Joyce L. Benner, Kirsten D.S. Boerma-Argelo, Michel H. J. Stavenuiter, Jelle P. van der List. Clinical Improvement Is Achieved Following Tibial Tubercle Distomedialization for Patellar Maltracking and Patella Alta Without Instability. Arthrosc Sports Med Rehabil . 2021 Jun 15;3(3):e845-e853. He systematically combined the distalization with medialization. He reported a significant improvement in clinical scores at six months post-surgery and long-term stability (average follow-up 22 months).
Another literature review published in 2022 by an Italian team but based on a PubMed search in December 2020 reports the results of ATT osteotomies for painful patella alta.[23] Federica Rosso, Roberto Rossi, Umberto Cottino, Davide E. Bonasia. Tibial tubercle osteotomy for patellofemoral malalignment and chondral disease provided good outcomes: A systematic review. J ISAKOS. 2022 Apr;7(2):78-86. However, this meta-analysis did not include any isolated distalizing osteotomy of the ATT.
Conclusion
Isolated distalization osteotomy of the ATT as treatment for painful patella alta is a reliable procedure with a reported clinical satisfaction rate of around 80%. However, the indications should be established carefully based on an exhaustive diagnostic assessment and only after failure of observed medical treatment for six months. The surgery must be meticulous to limit complications, especially fractures or pseudoarthrosis of the ATT wedge.
To date, there is only one published study from 2002 reporting the results of isolated distalizing ATT osteotomies for painful patella alta.[21] AL-Sayyad, Cameron JC. Functional outcome after tibial tubercle transfer for the painful patella alta. Clin Orthop Relat Res. 2002 Mar;(396):152-62. A series from the Lyon School of Knee Surgery (LYSKS), due to be presented during the 20th edition of its Journées Lyonnaises, will provide an update on the sparse information about this procedure.
References
1. Kellie K. Middleton, Simone Gruber, Beth E. Shubin Stein. Why and Where to Move the Tibial Tubercle: Indications and Techniques for Tibial Tubercle Osteotomy. Sports Med Arthrosc Rev 2019;27:154–160
2. Seth L. Sherman, Joseph Humpherys, Jack Farr. Optimizing Patellofemoral Cartilage Restoration and Instability With Tibial Tubercle Osteotomy. Arthroscopy 2019 Aug;35(8):2255-2256.
3. Seth L. Sherman, Brandon J. Erickson, Gregory L. Cvetanovich, Peter N. Chalmers, Jack Farr II, Bernard R. Bach, Jr and Brian J. Cole. Tibial Tuberosity Osteotomy: Indications, Techniques, and Outcomes. Am J Sports Med. 2014 Aug;42(8):2006-17
4. Derrick Knapik, Kyle N Kunze, Eric Azua, Amar Vadhera, Adam B Yanke, Jorge Chahla. Radiographic and Clinical Outcomes After Tibial Tubercle Osteotomy for the Treatment of Patella Alta: A Systematic Review and Meta-analysis. Am J Sports Med. 2022 Jun;50(7):2042-2051.
5. Chilan B.G.Leit, Ta rsis P. Santos, Pedro N. Giglio, José R. Pe cora, Gilberto L. Camanho, Riccardo G. Gobbi. Tibial Tubercle Osteotomy With Distalization Is a Safe and Effective Procedure for Patients With Patella Alta and Patellar Instability. Orthop J Sports Med. 2021 Jan 21;9(1):2325967120975101
6. T Luyckx, K Didden, H Vandenneucker, L Labey, B Innocenti,
J Bellemans. Is there a biomechanical explanation for anterior knee pain in patients with patella alta? J Bone Joint Surg Br. 2009 Mar;91(3):344-50.
7. Ward SR, Powers CM. Patella alta: association with patellofemoral alignment and changes in contact area during weight- bearing. J Bone Joint Surg Am. 2008;89:1749–1755.
8. Lenhart RL, Brandon SCE, Smith CR, Novacheck TF, Schwartz MH, Thelen DG. Influence of patellar position on the knee extensor mechanism in normal and crouched walking. J Biomech. 2017 Jan 25;51:1-7.
9. Mitchell GA Wheatley, Michael J Rainbow, Allison L Clouthier. Patellofemoral Mechanics: a Review of Pathomechanics and Research Approaches. Curr Rev Musculoskelet Med. 2020 Jun; 13(3): 326–337.
10. Dejour D, Le Coultre B. Osteotomies in patello-femoral instabilities. Sports Med Arthrosc Rev. 2007;15(1):39-46
11. Servien E, Verdonk PC, Neyret P. Tibial tuberosity transfer for episodic patellar dislocation. Sports Med Arthrosc Rev. 2007;15(2):61-67.
12. Michael J. Dan !, Joseph Cadman, James McMahon, William C.H. Parr, David Broe, Mervyn Cross, Richard Appleyard, William R. Walsh. Distalising tibial tubercle osteotomy decreases patellar tendon force — A treatment rationale for recalcitrant patellar tendinopathy. The Knee. 2020 Jun;27(3):871-877.
13. Justin S. Yang, John P. Fulkerson, Elifho Obopilwe, Andreas Voss, Jessica Divenere, Augustus D. Mazzocca, Cory M. Edgar. Patellofemoral Contact Pressures After Patellar Distalization: A Biomechanical Study. Arthroscopy 2017 Nov;33(11):2038-2044
14. Caton J, Deschamp G, Chambat P, Lerat JL, Dejour H. Les rotules basses (Patellae inferae) – A propos de 128 observations. Rev Chir Orthop 1982 ; 68:317–325
15. Jacques Caton, David Dejour. Tibial tubercle osteotomy in patello-femoral instability and in patellar height abnormality. Int Orthop 2010 Feb;34(2):305-9.
16. Ryan W. Paul, Joseph M. Brutico, Margaret L. Wright, Brandon J. Erickson, Fotios P. Tjoumakaris, Kevin B. Freedman, Meghan E. Bishop. Strong Agreement Between Magnetic Resonance Imaging and Radiographs for Caton–Deschamps Index in Patients With Patellofemoral Instability. Arthrosc Sports Med Rehabil. 2021 Sep 2;3(6):e1621-e1628
17. D. Dejour, P. Ferrua, P.G. Ntagiopoulos, C. Radier, C. Hulet, F. Rémy, J. Chouteau, F. Chotel, P. Boisrenoult, A. Sebilo, S. Guilbert, D. Bertin, F.-P. Ehkirch, V. Chassaing. The introduction of a new MRI index to evaluate sagittal patellofemoral engagement. Orthop Traumatol Surg Res. 2013 Dec;99(8 Suppl):S391-8.
18. Servien E, Ait Si Selmi T, Neyret P. Le Genou du Sportif. Montpellier: Sauramps medical; 2002:97–106
19. Caton J, Mironneau A, Walch G, Levigne C, Michel CR. Idiopathic high patella in adolescents: A propos of 61 surgical cases. Rev Chir Orthop 1990; 76:253–260.
20. T Bayoumi, JL Benner, MHJ Stavenuiter, JP Van Der List. Tibial tubercle transfer leads to clinically relevant improvement in patients with patellar maltracking without instability: a systematic review and meta-analysis. Knee Surg Sports Traumatol Arthrosc. 2021 Apr;29(4):1137-1149.
21. AL-Sayyad, Cameron JC. Functional outcome after tibial tubercle transfer for the painful patella alta. Clin Orthop Relat Res. 2002 Mar;(396):152-62.
22. Tarik Bayoumi, Dennis C. van Duijvenbode, Joyce L. Benner, Kirsten D.S. Boerma-Argelo, Michel H. J. Stavenuiter, Jelle P. van der List. Clinical Improvement Is Achieved Following Tibial Tubercle Distomedialization for Patellar Maltracking and Patella Alta Without Instability. Arthrosc Sports Med Rehabil . 2021 Jun 15;3(3):e845-e853.
23. Federica Rosso, Roberto Rossi, Umberto Cottino, Davide E. Bonasia. Tibial tubercle osteotomy for patellofemoral malalignment and chondral disease provided good outcomes: A systematic review. J ISAKOS. 2022 Apr;7(2):78-86.